SÍNDROME DA CAUDA EQUINA

A síndrome da cauda equina refere-se a compressão das raízes nervosas da região lombossacra da coluna. Nessa porção final da medula a medula deixa de ser um tubo único e se ramifica em vários feixes nervosos.

Essa doença pode ser causada por hérnias de disco, tumores, fraturas e luxações, doenças degenerativas, infecção, entre outros:

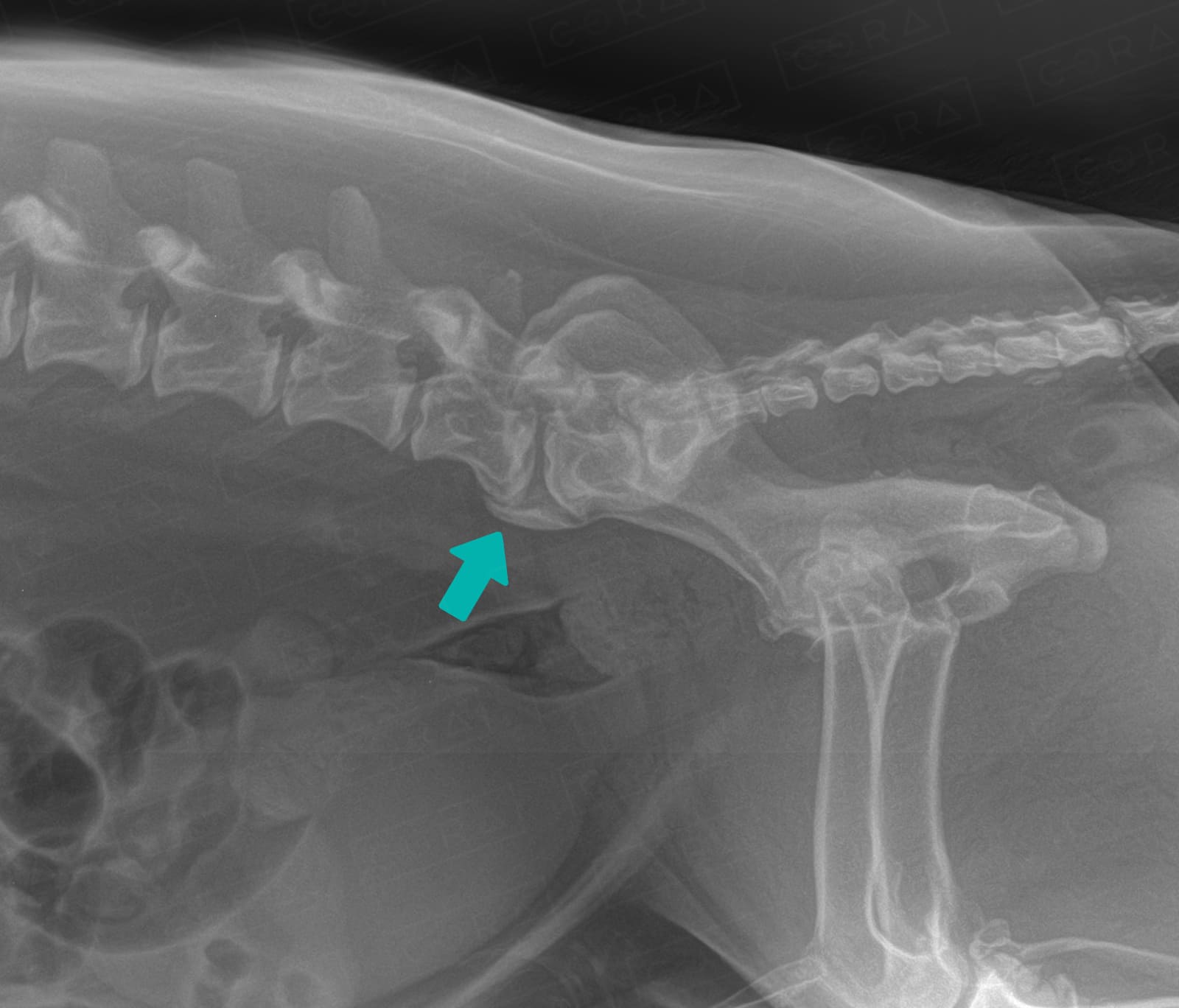
Devido à instabilidade crônica, com frequência é notada uma espondilose ventral, popularmente conhecida como "bico de papagaio".

Os sintomas e sinais clínicos são:
- Dor,
- Dificuldade locomotora,
- Fraqueza,
- Incontinência urinária e fecal,
- Dor na palpação da coluna lombossacra e na elevação da cauda.


Comumente, o animal apresenta dor na manipulação da articulação coxofemoral, sinal que pode ser confundido com os de displasia do quadril. Muitas vezes, o paciente também possui evidências radiográficas de displasia coxofemoral, criando uma armadilha para o diagnóstico da estenose lombossacra.

O tratamento varia em razão do tipo de lesão encontrada, sendo normalmente cirúrgico por descompressão medular; estabilização vertebral; coleta de cultura e antibiograma para antibioticoterapia adequada. Infiltrações de corticosteróides podem ser escolhidos para tratamento em casos mais leves da síndrome.




CONTATO

(11) 97269-8589

CORA.ORTOPEDIAVET@GMAIL.COM

RUA PIRAPORA, 167 - PARAÍSO
SÃO PAULO (SP) - CEP 04008-060

© CORA | TODOS OS DIREITOS RESERVADOS