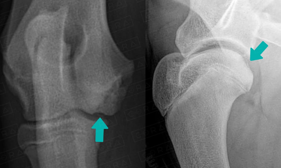
A osteocondrose é uma doença na qual ocorre um
distúrbio na ossificação endocondral que, quando
um retalho cartilagíneo se solta na
superfície articular, passamos a chamar de osteocondrite dissecante.

Essa alteração pode acontecer em todas as articulações, mas é mais frequente na escápulo-umeral
(ombro), úmero-rádio-ulnar (cotovelo),
fêmoro-tíbio-patelar (joelho) e tíbio-társica (calcanhar) de cães em desenvolvimento.
Cães de raças grandes e gigantes são mais afetados e raramente ela é diagnosticada em gatos ou
cães de pequeno e médio porte. Os
machos são mais afetados que as fêmeas e os sinais clínicos aparecem por volta dos 4 aos 8 meses
de idade, dependendo da articulação
envolvida.
Em geral, a claudicação é unilateral e piora após o exercício, mas existem casos em que a doença
afeta os dois membros do animal.
O diagnóstico é baseado nos achados
radiográficos, que, na maioria dos casos, são suficientes
para fechar o diagnóstico. No entanto, em
alguns animais é necessário a realização da tomografia computadorizada.
Como a doença pode ser bilateral, mesmo que o animal apresente sinais clínicos somente de um
lado, sempre é indicado que o exame
auxiliar de diagnóstico seja feito em ambos os membros.
O tratamento é cirúrgico e consiste na artrotomia e na curetagem do
local afetado ou remoção do
flape cartilagíneo solto.
(11)
97269-8589
CORA.ORTOPEDIAVET@GMAIL.COM
RUA PIRAPORA, 167 - PARAÍSO
SÃO
PAULO (SP) - CEP 04008-060