LUXAÇÃO DE PATELA

A patela, também conhecida como rótula, é uma importante estrutura óssea integrante do mecanismo de extensão da articulação do joelho e por isso o seu correto posicionamento exerce uma função fundamental no movimento articular.



A luxação de patela é uma doença extremamente comum que acomete o joelho de cães, principalmente os de raças miniatura e de pequeno porte. Essa alteração pode ser congênita ou traumática, sendo a luxação medial congênita a de maior incidência.

Nos cães, o deslocamento patelar congênito ocorre devido a deformidades angulares presentes no fêmur, na tíbia ou em ambos os ossos.

Os sinais clínicos variam de acordo com o grau da luxação, desde claudicação leve e esporádica a moderada, e até graves alterações locomotoras com luxação permanente e severas deformidades angulares, rotacionais e de tecidos moles.

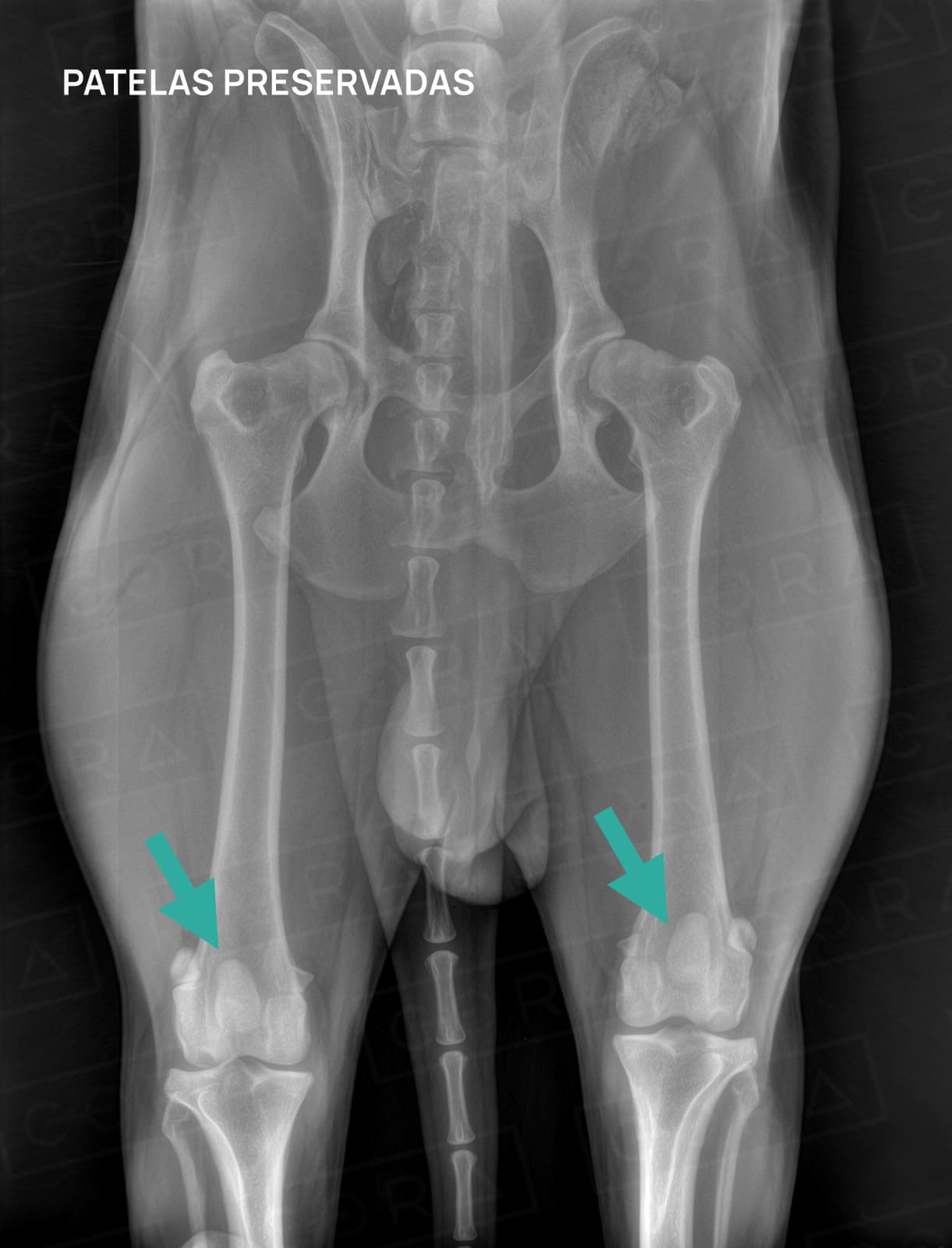
O diagnóstico é baseado no exame físico, radiográfico e, algumas vezes, até a tomografia com reconstrução anatômica é necessária para o estudo e compreensão das deformidades anatômicas presentes no membro do animal.

O tratamento é individualizado e consiste na correção e alinhamento das anormalidades ósseas e de tecidos moles presentes em cada caso e, normalmente, consiste na associação de diversas técnicas cirúrgicas, tais como: imbricação da fáscia lata, sutura antirrotacional, desmotomia medial, trocleoplastia, transposição da tuberosidade tibial e osteotomias corretivas.

As luxações mais crônicas geralmente cursam com condromalácia e osteoartrose na articulação do joelho, que não tem cura, mesmo após a correção da luxação da patela. Nesses casos, quando mais graves, pode ser necessário prótese de tróclea.

A inflamação articular crônica e a alteração biomecânica causadas pela luxação de patela, podem predispor à ruptura de ligamento cruzado cranial do joelho, sendo necessário, nesses casos, uma correção conjunta.


CONTATO

(11) 97269-8589

CORA.ORTOPEDIAVET@GMAIL.COM

RUA PIRAPORA, 167 - PARAÍSO
SÃO PAULO (SP) - CEP 04008-060

© CORA | TODOS OS DIREITOS RESERVADOS