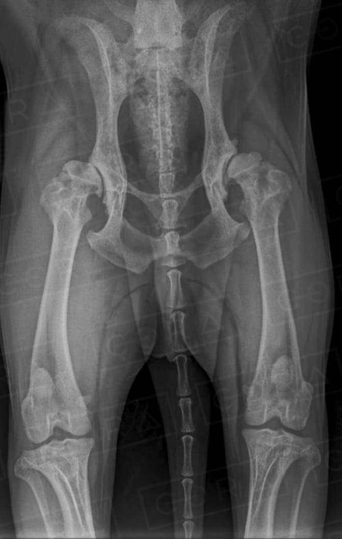
DISPLASIA COXOFEMORAL

A sinais clínicos (DCF) é uma doença de característica genética e poligênica envolvendo uma ou ambas as articulações do quadril, causada pela instabilidade do quadril, levando a incongruência articular e desenvolvimento de osteoartose.



Fatores nutricionais (sobrepeso) e relacionados ao meio ambiente (como pisos lisos e escorregadios) não causam o aparecimento da doença mas podem piorar a manifestação clínica. A doença pode acometer animais de todas as raças e tamanhos. Os sinais clínicos podem aparecer em qualquer idade, incluindo:

- mancar após o exercício,
- ficar pra trás durante os passeios,
- dificuldade em levantar, sentar, pular, subir escadas,
- postura rígida,
- dorso arqueado,
- alteração na marcha,
- deslocamento do peso para os membros anteriores,
- redução do interesse por atividade física,
- decúbito prolongado e
- úlceras ou feridas devido ao longo tempo deitado em piso duro.

O diagnóstico é baseado na anamnese, exame físico e radiográfico simples. O diagnóstico precoce, em filhotes ainda assintomáticos, pode ser feito por meio do PennHIP, técnica de raio-x por distração articular, que estima o grau de instabilidade do quadril e risco de desenvolvimento de osteoartrose. O diagnóstico precoce possibilita um melhor prognóstico e mais qualidade de vida ao animal.

O tratamento pode ser conservador e/ou cirúrgico. A abordagem multidisciplinar, por meio de terapias adjuvantes, como fisioterapia, ozonioterapia, implante de ouro, acupuntura, manejo ambiental e (nutricional) e nutracêuticos, é essencial para manutenção/melhora da qualidade de vida do paciente displásico.

Existem várias técnicas cirúrgicas que podem ser empregadas de acordo com o tamanho do animal, o nível de atividade física, idade, volume de massa muscular e o grau da displasia.

TÉCNICAS CIRÚRGICAS PARA O TRATAMENTO DA DISPLASIA COXOFEMORAL.


1. Denervação

Procedimento pouco invasivo que visa a remoção (neurectomia) de fibras sensitivas no periósteo da região do quadril, promovendo analgesia dos pacientes que sofrem com as alterações degenerativas nessa articulação, provocadas pela displasia. É importante ressaltar que essa técnica é paliativa, aplicada somente para controle da dor, ou seja, não é um procedimento curativo.

2. Sinfisiodese Púbica Juvenil

Essa é uma técnica preventiva, possível de ser feita em pacientes com idade inferior a 4 meses, e que visa aumentar a cobertura do acetábulo sobre a cabeça do fêmur por meio da cauterização da linha de crescimento da sínfise púbica.

O diagnóstico precoce da DCF é importante para evitar o agravamento da doença e permitir que tais medidas preventivas sejam adotadas. Nesse procedimento, o PennHIP é a técnica radiográfica indispensável para diagnosticar precocemente a doença.

*A DCF é uma doença de caráter genético, portanto, o tratamento cirúrgico é considerado preventivo apenas quanto à evolução da doença, por ser feito de maneira muito precoce.

3. Ressecção da Cabeça e Colo Femorais

Essa técnica consiste, como o próprio nome diz, na remoção cirúrgica destas duas estruturas anatômicas1 que fazem parte da articulação coxofemoral. É uma técnica de salvamento, com o intuito de retirar a área de contato dolorosa entre o fêmur e acetábulo, realizada por meio de uma serra oscilante, para alívio da dor e posterior formação de uma fibrose tecidual no local que irá agir como uma pseudoartrose ou “articulação falsa”.

Essa técnica não é somente empregada nos casos da displasia, visto que outras doenças também podem ser tratadas por ela, como a necrose asséptica da cabeça do fêmur, fraturas cominutivas da cabeça femoral ou mesmo a luxação coxofemoral traumática onde o reposicionamento não é mais possível ou indicado.

4. Osteotomia Dupla ou Tripla de Pelve (ODP ou OTP)

Técnica preventiva para cães até 8 meses de idade, usada para aumentar a cobertura acetabular sobre a cabeça do fêmur para impedir ou minimizar a subluxação do quadril e subsequente desenvolvimento da osteoartrose. Vários pré-requisitos são necessários para a escolha dessas técnicas.

*A DCF é uma doença de caráter genético, portanto, o tratamento cirúrgico é considerado preventivo apenas quanto à evolução da doença, por ser feito de maneira muito precoce.

5. Prótese de quadril

Essa técnica, padrão ouro para a doença, visa a substituição completa da articulação por uma prótese, proporcionando o retorno completo da função do membro operado. (clique aqui para saber mais sobre prótese de quadril)

A escolha da técnica varia de acordo com o tamanho do animal, o nível de atividade física, idade, volume de massa muscular, o grau da displasia, nível de dor, e outras considerações conversadas entre o ortopedista e o tutor para a escolha da técnica mais adequada para cada caso.



MANEJO CLÍNICO PARA O TRATAMENTO DA DISPLASIA COXOFEMORAL.


1. Ambiente

O manejo ambiental é crucial para ajudar a minimizar os riscos e melhorar a qualidade de vida dos animais afetados.

Um dos aspectos mais importantes do manejo ambiental é a promoção de um ambiente físico adequado. Isso inclui garantir que os cães vivam em superfícies antiderrapantes para evitar escorregamentos, quedas e lesões. Além disso, o controle do peso é fundamental; um cão com sobrepeso exerce pressão extra sobre as articulações, exacerbando os sintomas da displasia. Portanto, uma alimentação equilibrada e exercícios regulares são essenciais. Os exercícios, além de colaborarem com o controle de peso, também ajudam a manter a massa muscular hipertrofiada, levando a menor sobrecarga articular.

Outra dimensão do manejo ambiental envolve a adaptação do espaço onde o cão vive. Rampas e áreas de descanso confortáveis podem facilitar a locomoção e reduzir o estresse nas articulações. A criação de um ambiente seguro e acessível não só ajuda na prevenção de lesões adicionais, mas também contribui para o bem-estar emocional do animal.

Além disso, a educação dos tutores sobre as necessidades específicas dos cães com displasia coxofemoral é vital. Conhecer os sinais de dor e desconforto, bem como as melhores práticas de manejo, pode fazer uma grande diferença na vida do pet.

2. Nutrição

O manejo nutricional adequado pode desempenhar um papel fundamental na prevenção e no controle dos sintomas da displasia coxofemoral.

Um dos principais aspectos do manejo nutricional é a manutenção de um peso corporal saudável. Cães com sobrepeso ou obesidade enfrentam um risco maior de desenvolver problemas articulares, pois o excesso de peso aumenta a carga sobre as articulações já comprometidas. Além disso, o excesso de gordura promove inflamação no organismo do pet. Portanto, uma dieta balanceada e controlada em calorias é essencial para ajudar a manter o peso ideal do animal. Consultar um veterinário para determinar as necessidades calóricas específicas de cada cão é uma boa prática.

A escolha de alimentos ricos em nutrientes que promovem a saúde das articulações pode ser muito benéfica. Nutrientes como ácidos graxos ômega-3, possuem propriedades anti-inflamatórias que podem ajudar a reduzir a dor nas articulações. Suplementos como colágeno tipo II também são frequentemente recomendados por veterinários para apoiar a saúde articular e melhorar a mobilidade.

Complementos nutricionais pode auxiliar no controle da dor e na redução da inflamação. Plantas como cúrcuma e gengibre são conhecidas por suas propriedades anti-inflamatórias e podem ser incorporadas à dieta do cão, sempre com supervisão veterinária.

Em suma, o manejo nutricional é uma ferramenta poderosa no controle da displasia coxofemoral em cães. Ao focar em uma dieta equilibrada, controle de peso e inclusão de nutrientes benéficos para as articulações, os tutores podem contribuir significativamente para o bem-estar e qualidade de vida dos seus pets. Consultar um veterinário regularmente garantirá que as estratégias nutricionais estejam alinhadas com as necessidades específicas de cada cão.

3. Fisioterapia

Embora o tratamento médico e nutricional seja fundamental, a fisioterapia se destaca como uma abordagem complementar extremamente eficaz, proporcionando alívio da dor e melhora da qualidade de vida dos animais afetados.

A fisioterapia veterinária envolve uma série de técnicas e exercícios específicos que visam fortalecer os músculos ao redor da articulação do quadril, melhorar a amplitude de movimento e promover a reabilitação funcional. Um dos principais objetivos da f isioterapia é reduzir a dor e a inflamação, permitindo que o cão retome suas atividades diárias com mais conforto.

Um dos métodos utilizados na fisioterapia é o exercício terapêutico. Esses exercícios são cuidadosamente planejados para atender às necessidades individuais de cada cão, ajudando a fortalecer os músculos das pernas, do quadril e do corpo como um todo. Com o fortalecimento muscular, há uma diminuição da pressão sobre a articulação afetada, o que pode aliviar os sintomas da displasia.

Além disso, técnicas como hidroterapia são particularmente benéficas para cães com displasia coxofemoral. A água proporciona um ambiente de baixo impacto que permite ao animal se exercitar sem sobrecarregar as articulações. A resistência da água também ajuda no fortalecimento muscular de maneira segura e controlada.

O uso de modalidades como laserterapia, magnetoterapia e outros aparelhos fisioterápicos também pode ser incorporado ao tratamento f isioterapêutico. Essas técnicas ajudam a reduzir a dor, promovendo um melhor fluxo sanguíneo e diminuindo a inflamação articular.

Outro aspecto importante da fisioterapia é a educação dos tutores. Durante as sessões, os profissionais ensinam exercícios que podem ser realizados em casa, além de dicas para adaptar a rotina do cão, garantindo um ambiente propício para sua recuperação.

Em resumo, a fisioterapia desempenha um papel crucial no manejo da displasia coxofemoral em cães. Ao combinar técnicas terapêuticas com um plano de exercícios personalizado, é possível não apenas aliviar os sintomas, mas também melhorar significativamente a mobilidade e qualidade de vida do animal. Consultar um fisiatra veterinário especializado é essencial para garantir que o tratamento seja eficaz e seguro, proporcionando ao seu amigo peludo uma vida mais ativa e feliz.

4. Terapias complementares

Embora o tratamento convencional, como medicamentos e fisioterapia, seja essencial, as terapias complementares têm ganhado destaque como alternativas eficazes para melhorar a qualidade de vida dos cães afetados. Essas abordagens podem ser utilizadas em conjunto com tratamentos tradicionais, proporcionando um suporte adicional ao bem-estar do animal:

(acupuntura)
(implante de ouro)
(ozonioterapia)
(quiropraxia)
(shock wave)
(infiltrações de ácido hialurônico)
(células-tronco)


CONTATO

(11) 97269-8589

CORA.ORTOPEDIAVET@GMAIL.COM

RUA PIRAPORA, 167 - PARAÍSO
SÃO PAULO (SP) - CEP 04008-060

© CORA | TODOS OS DIREITOS RESERVADOS